Herausnehmbarer Zahnersatz -
Totalprothesen
Wenn eine Versorgung mit festsitzendem Zahnersatz nicht mehr möglich ist, wird als Alternative zu herausnehmbaren Zahnersatz zurückgegriffen. Das kann in Form von Teil- oder Totalprothesen erfolgen.
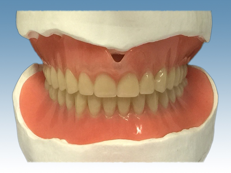
Im Bild zu sehen ist eine totale Unter- und Oberkieferversorgung.
Bei herausnehmbaren Zahnersatz ist ganz besonders auf die Mundhygiene zu achten. Sowohl die sichtbaren als auch die Innenflächen sind stets sorgfältig zu reinigen, um die Bildung von Belägen und damit Mundgeruch zu verhindern.
Einsetzbar für Ober- und Unterkiefer
Zum Ersatz aller Zähne eines Kiefers kommt eine "Totalprothese" oder "Vollprothese" zum Einsatz, da im Kiefer keine Zähne mehr vorhanden sind, die zur zusätzlichen Befestigung der Prothese genutzt werden können. Im allgemeinen liegen Totalprothesen direkt auf der Mundschleimhaut auf. Eine sehr gute Anpassung an eben diese ist eben so wichtig wie eine gute Mundhygiene.
Im Oberkiefer hält die Prothese durch das Ansaugen am Gaumen, im Unterkiefer dient der Kieferkamm zur Lagesteuerung des Zahnersatzes. Haftcremes können ergänzend eingesetzt werden.
Alternativ könnte das Setzen von Implantaten dazu dienen, Prothesen im Mund einen festen Sitz zu geben. Ob das in ihrem Fall möglich ist, kann Ihnen ihr Zahnarzt sagen.
Für eine Prothese können Kunststoffzähne von verschiedenen Herstellern in zahlreichen Farb- und Formvarianten zum Einsatz kommen. Gerne berät Sie ihr Zahnarzt. In Abstimmung mit diesem unterstützen wir ihn bei dieser Beratung.
So arbeiten wir
Egal ob manuell in Wachstechnik gefertigt oder durch CAD/CAM - hinter jeder Arbeit steht ein erfahrener Zahntechniker und ein Meister, der ausnahmslos jede Arbeit kontrolliert, bevor sie unser Labor verlässt.
Angelernte Hilfskräfte, die zahntechnische Arbeiten fertigen oder Teilleistungen dazu erbringen, finden Sie bei uns nicht!
News & Infos
Website aktualisiert und auf eine neue Plattform portiert
26.05.2020
5 Jahre Garantie auf festsitzenden Zahnersatz
Wir lassen unsere Qualität für uns sprechen.
Garantiebedingungen und weitere Infos finden Sie hier!
01.01.2018
Handwerksqualität
seit 1990!
Seit 1990 immer am Ball und up to date - nicht umsonst vertrauen uns viele Kunden seit der Gründung unseres Dentallabors.
Fünf Jahre Garantie auf festsitzenden Zahnersatz!
Wir sind von der Qualität unserer Arbeiten überzeugt, deshalb gewähren wir auf zahlreiche Proodukte unseres Labors 5 Jahre Garantie.
Wir arbeiten schon,
wenn Andere noch fahren!
Kurze Reaktionszeiten - kurze Wege, eine unserer Stärken. So kann ein Zahntechniker innerhalb weniger Minuten in der Praxis sein.
Für Sie da im Notdienst, damit Patienten nicht im Regen stehen!
Haben Zahnärzte, die mit uns zusammenarbeitenden Notdienst, sind wir erreichbar. Unser Beitrag zur perfekten Patientenversorgung.
